img
hiver
img img
printemps
img
hiver
img
printemps

Cas cliniques

Original - Man holding beer Processed - Man holding beer

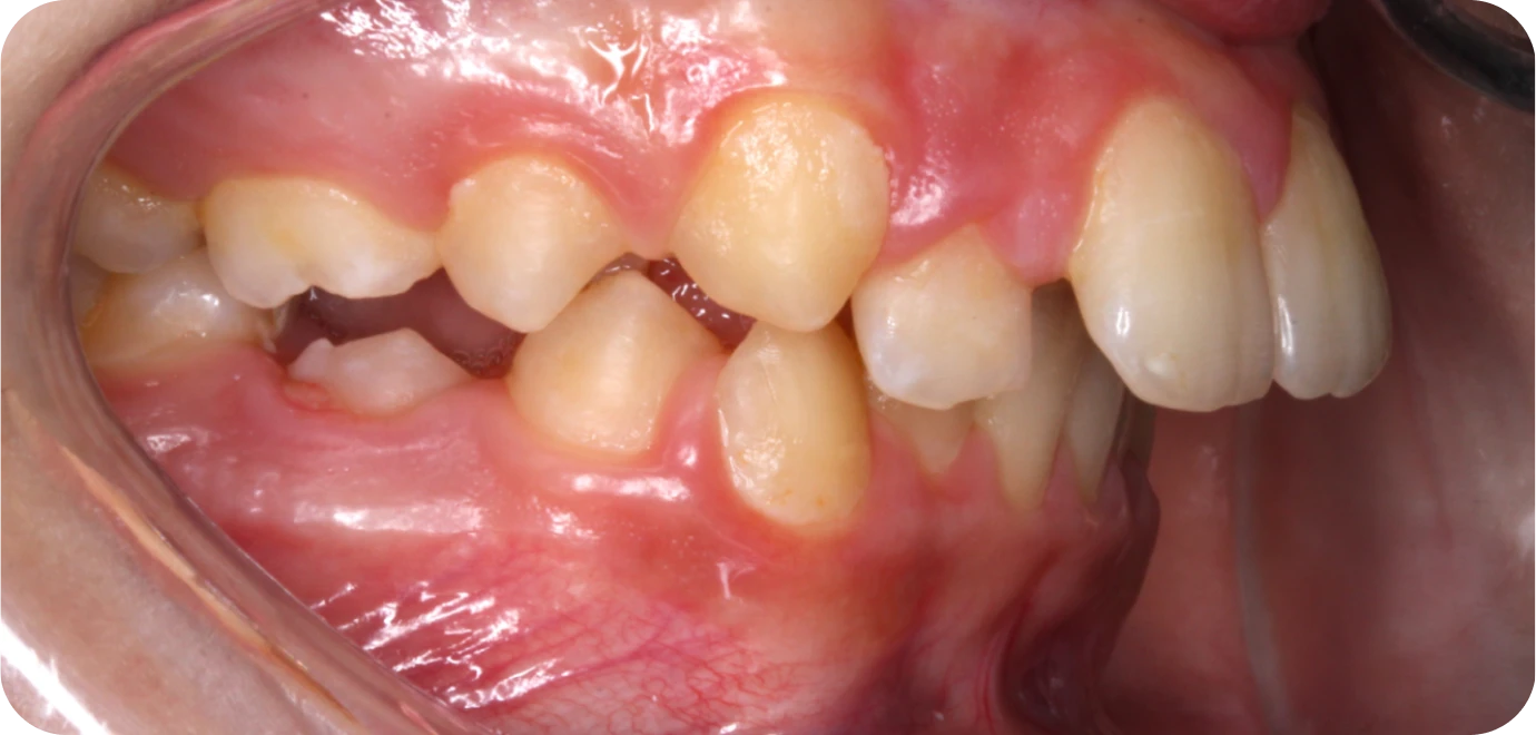
Appareil fonctionnel + multi-attaches

Patient de 11 ans, traitement d'avancée mandibulaire par appareil fonctionnel, suivi d'un traitement par appareil multi-attaches

Original - Man holding beer Processed - Man holding beer

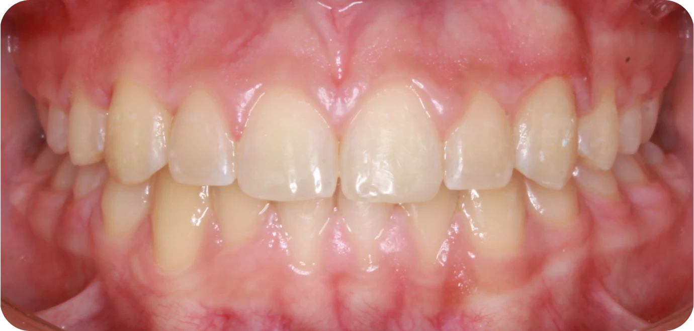
Appareil fonctionnel + multi-attaches

Patient de 11 ans, traitement d'avancée mandibulaire par appareil fonctionnel, suivi d'un traitement par appareil multi-attaches

Original - Man holding beer Processed - Man holding beer

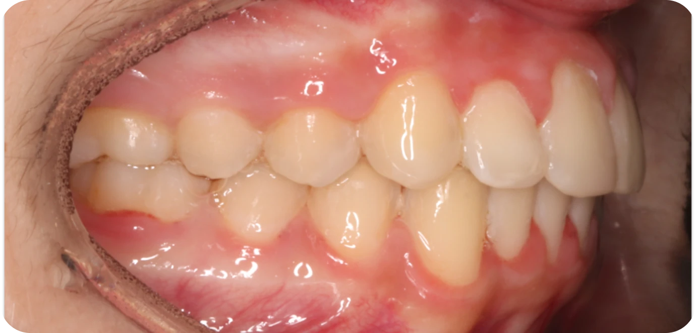
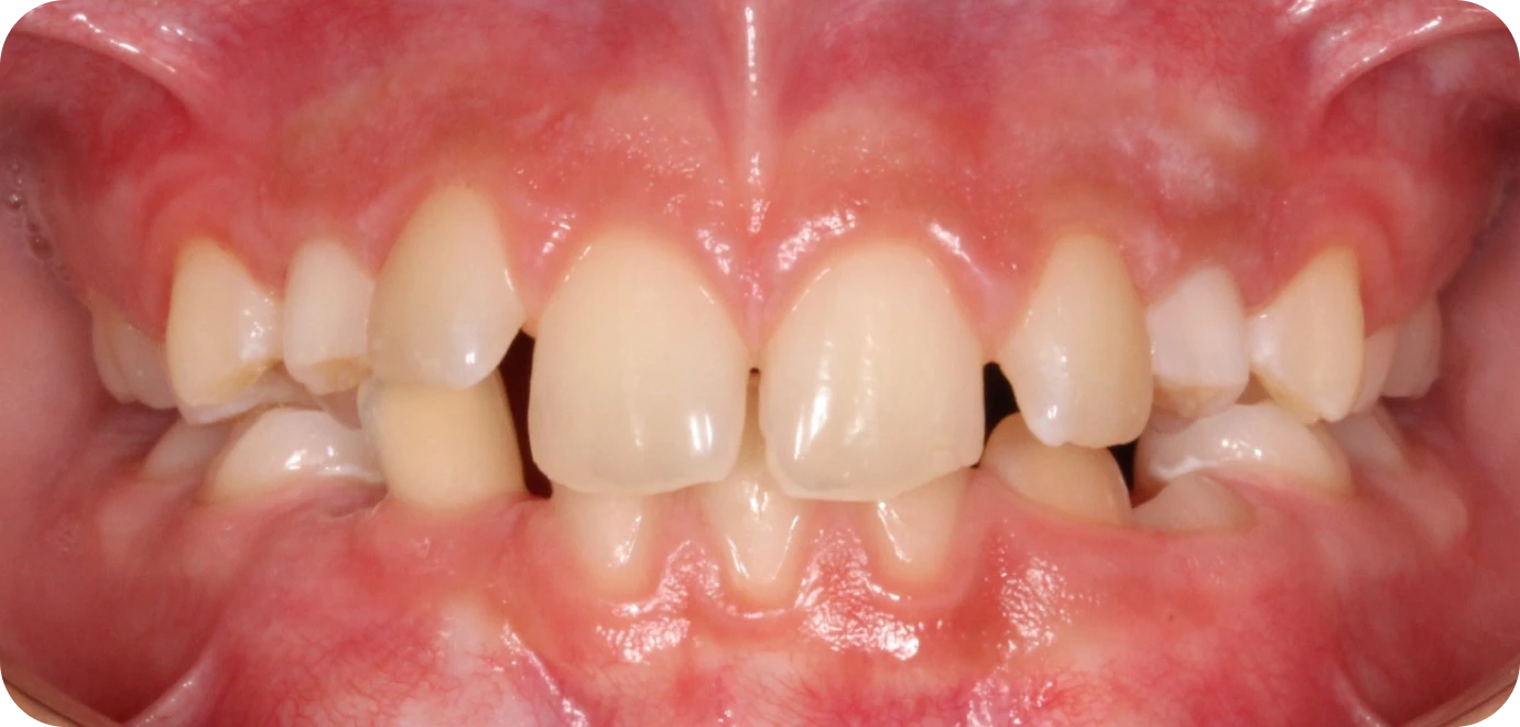
Multi-bague et traction ortho-chirurgical

Patient de 9 ans avec encombrement et inclusion des canines 13 23 et 43. Traitée par appareil multibague et traction ortho-chirurgical des canines incluses

Contactez-nous
Des questions ? Besoin d’un rendez-vous ? Pour obtenir un rendez-vous ou nous poser une question, remplissez le formulaire et nous vous contacterons dans les meilleurs délais.

    Nom *

    Prénom *

    Téléphone *

    Email *